当医院の治療の特色
基本治療とは
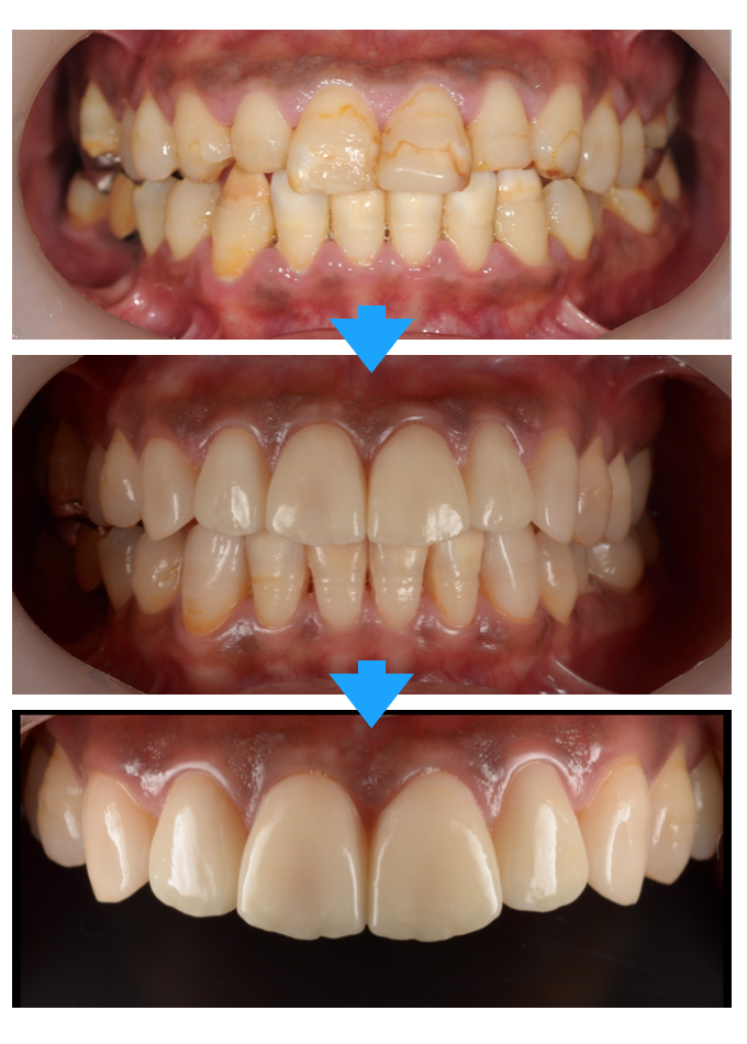
当医院は審美治療を希望されて来院される方が多くいらっしゃいます。見た目の変化の大きい審美治療やインプラントに目がいきやすいですが、これらの治療は基本の治療をこつこつ積み上げた上に成り立っています。この基本治療はすべての治療の基本となりますのでとても大切な治療となります。
基本治療とは
むし歯を治療して詰める
むし歯の治療をして歯を入れる(銀歯や入れ歯)
神経治療や歯の根の治療
口臭、歯肉炎、歯周病の治療(別コーナーで詳しく説明しています)
顎関節症の治療

当医院は審美治療を希望されて来院される方が多くいらっしゃいます。見た目の変化の大きい審美治療やインプラントに目がいきやすいですが、これらの治療は基本の治療をこつこつ積み上げた上に成り立っています。この基本治療はすべての治療の基本となりますのでとても大切な治療となります。
基本治療とは
むし歯を治療して詰める
むし歯の治療をして歯を入れる(銀歯や入れ歯)
神経治療や歯の根の治療
口臭、歯肉炎、歯周病の治療(別コーナーで詳しく説明しています)
顎関節症の治療
ひらかわ歯科クリニックでは、見えないところではありますがすべての治療の基本ですので特に力を入れています。
